Mauvaise soudure

J’ai enfin terminé mes six semaines de plâtre. Et une chose est sûre, c’est que cela fait du bien.
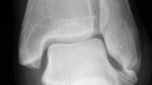
Mais voilà, le jour où je suis allé enlever mon plâtre, il ont montré pour la première fois mes radios au chef de clinique. Et voilà que celui-ci me dit qu’il n’ont malheureusement mal vu, mais ma malléole était déplacée et qu’il auraient dû opérer.
Mais bon, maintenant c’est trop tard. Par “chance” l’articulation est bonne, il va juste falloir plus de temps pour que cela se consolide.
Mmmm j’adore.
Bref, maintenant, je me balade avec une jambe toute pelée et ma canne de vieux. Mais ça, c’est pas trop grave. Ce qui m’embête, c’est que j’ai de belles lancées dans toute la cheville au moindre mouvement de “traviôle”. Mais ça va de mieux en mieux. Encore deux mois tranquilles et je vais pouvoir refaire su sport s’il ne m’annonce pas encore une nouvelle du genre